Vuelve a reír sin inseguridades

Recupera la funcionalidad y belleza de tu boca con tratamientos de vanguardia

Somos especialistas en estética dental que cuidan de ti. Combinamos tecnología de punta, experiencia y un enfoque artístico para devolverte la confianza que mereces. Tratamientos personalizados con resultados naturales y garantizados.

"100% recomendado una excelente atención y sus trabajos son los mejores." — Ede Angulo
Consultorio

Con la confianza de:

Clinica biblica Hospital Metropolitano Medismart Hospital la catolica Clinica biblica Hospital Metropolitano Medismart Hospital la catolica Clinica biblica Hospital Metropolitano Medismart Hospital la catolica
Dr. Albert Igual
Porque Nuestros pacientes escogen al Dr. Albert Igual

Más de 23 años dedicados a la excelencia odontológica integral

El Dr. Albert Igual especializado en España, integra protocolos internacionales de calidad para garantizar que cada paciente reciba un tratamiento de clase mundial. Desde la valoración hasta la restauración completa.

23+ Años de Experiencia Trayectoria
5,000+ Pacientes Atendidos Vidas Impactadas

Excelencia Europea con Corazón Familiar

Formado en la prestigiosa Universitat Internacional de Catalunya y heredero de una tradición dental de excelencia, el Dr. Albert combina la precisión técnica de su Máster en Implantología con el arte artesanal de la prótesis dental aprendido de sus mayores. Su enfoque une la tecnología avanzada con un trato humano y resolutivo en Moravia.

Agendar mi Valoración Hoy
Especialista en Implantología: Experto en rehabilitación oral completa, devolviendo la funcionalidad y estética con técnicas de vanguardia.
Legado de Maestros: Formación única en el arte de la confección de prótesis de porcelana y zirconio, aprendida directamente de técnicos expertos.
Formación Internacional: Doble titulación universitaria (España y UCR), garantizando estándares de calidad europeos en Costa Rica.
Filosofía Resolutiva: Enfoque centrado en la satisfacción total del paciente, solucionando casos complejos con precisión y calidez.

Servicios Destacados

Implantes Dentales

Implantes Dentales

Raíz artificial de titanio que se fija al hueso para reemplazar un diente perdido de forma permanente, segura y estética.

Restauración Dental (Calza)

Restauración Dental (Calza)

Eliminación de caries y relleno del diente con resina de alta calidad, devolviendo su forma, función y apariencia natural.

Limpieza Dental

Limpieza Dental

Evaluación del estado de tu salud bucal y eliminación profesional de sarro y placa bacteriana para mantener tus dientes y encías sanos.

Ver todos los servicios Contactar ahora

Experiencias reales de pacientes satisfechos

"Es el mejor del mundo y una magnífica persona, los trabajos son impecables y casi imperceptibles, el mejor. ❤️🦷❤️"

Francisco Castro

Francisco Castro

Paciente de Implante Dental

★ ★ ★ ★ ★ 

"Muchas gracias al Dr.Albert igual , súper recomendado. Me sentí muy segura de mi tratamiento todo el tiempo."

Anaisis Castrillo

Anaisis Castrillo

Paciente de Estética Dental

★ ★ ★ ★ ★ 

"100% satisfecho con el trabajo realizado, cuando el profesional tiene amor y dedicación por lo que hace se ve reflejado en los resultados. Sin duda alguna lo recomiendo."

Francisco Prado

Francisco Prado

Paciente de ortodoncia

★ ★ ★ ★ ★ 
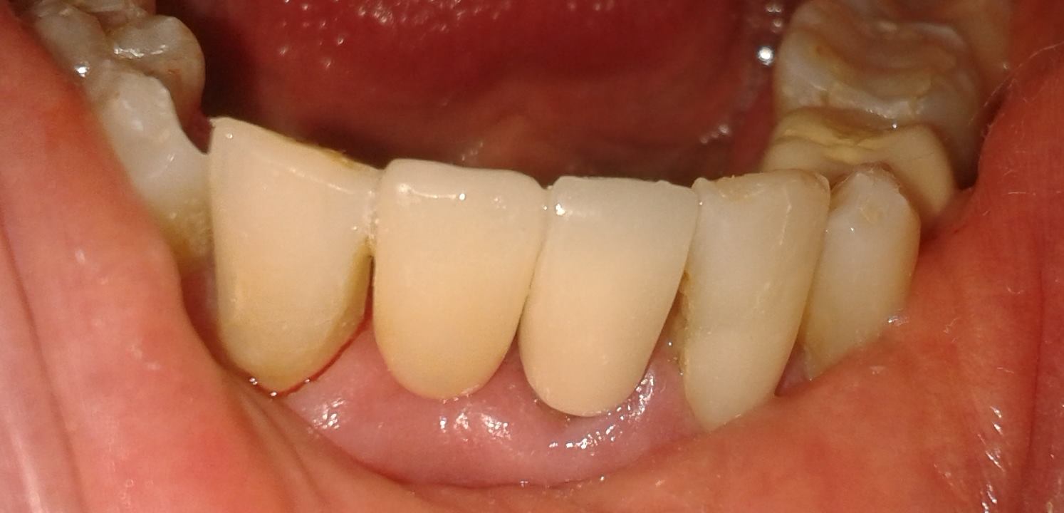
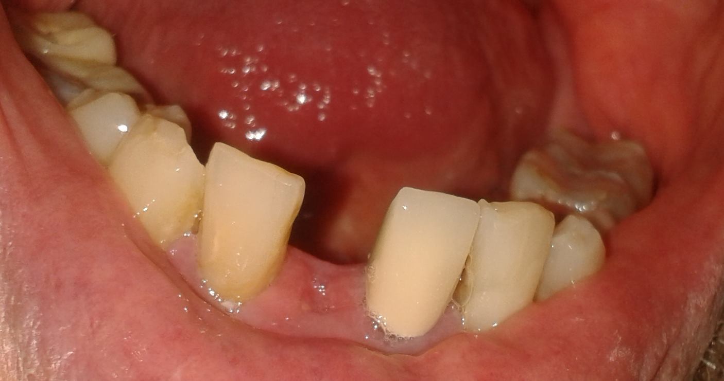
Casos de Éxito

Precisión en cada pieza, excelencia en cada paciente

Toda sonrisa en esta galería es el resultado de un plan de tratamiento personalizado y maestría clínica.

Click para agrandar

¿Listo para transformar tu salud dental?

No postergues más el bienestar que mereces. Ya sea para un chequeo preventivo o una rehabilitación completa, estamos aquí para guiarte en cada paso hacia una boca sana y funcional.

Únete a los cientos de pacientes que ya confían en la excelencia y el trato humano del Dr. Albert. Tu nueva sonrisa está a solo una consulta de distancia.

Solicita tu Consulta de Valoración

Tu información de contacto llegará a nuestro equipo y nos pondremos en contacto dentro de las primeras 24 horas.

🔒 Sus datos están protegidos por el secreto médico y la Ley de Protección de la Persona frente al Tratamiento de sus Datos Personales.

Preguntas Frecuentes

¿Cómo sé que quedaré satisfecho con el tratamiento?
En la primera cita el Dr. Albert Igual le realiza el diagnóstico, le explica detalladamente las opciones disponibles para resolver su situación dental, y le indica cuál es el procedimiento que se debe realizar para lograr un resultado exitoso. En todos los tratamientos se realizan las pruebas y verificaciones para lograr un perfecto confort y estética al finalizar, así como garantía de calidad tanto en los materiales de fabricación como en la precisión del procedimiento.
¿Qué puedo hacer si le tengo miedo al dentista?
Entendemos perfectamente que el miedo al dentista es una preocupación muy común y válida. En nuestra consulta, tu tranquilidad es nuestra prioridad, por lo que adaptamos cada paso del tratamiento a tu ritmo, explicándote todo con detalle antes de actuar para que nunca te sientas sorprendido o incomodo. Fomentamos una comunicación abierta donde puedes pedir una pausa en cualquier momento, y contamos con técnicas de relajación y, si lo necesitas, opciones de sedación consciente para garantizar una experiencia lo más tranquila y sin dolor posible.
¿Cuánto dolerá el tratamiento?
La odontología moderna prioriza el confort absoluto mediante anestésicos de acción rápida y técnicas mínimamente invasivas, por lo que el objetivo es que solo sientas una leve presión o nada en absoluto, garantizando que el procedimiento sea indoloro.
¿Cuánto cuesta y que opciones de pago tienen disponibles?
Ofrecemos presupuestos transparentes y detallados antes de iniciar cualquier trabajo. Contamos con opciones de financiamiento personalizadas. Le ayudamos a gestionar el formulario de Seguro Médico de su empresa, además de colaborar con la proforma y documentación dirigida a su Asociación de gremio profesional o Solidarista.
No tengo ningun dolor o molestia ¿Debo acudir a consulta?
Si! ya que las visitas de revisión periódicas permiten detectar problemas como caries incipientes o enfermedades de las encías antes de que se conviertan en situaciones dolorosas, costosas o que requieran tratamientos mucho más complejos, actuando así de forma preventiva para mantener tu salud bucal intacta.

Visite nuestro consultorio

Estamos ubicados en Moravia San José, con parqueo privado y todas las comodidades para su atención.

📍

Dirección

Centro Médico Los Colegios 25m Sur de Pizza Hut, San José, Moravia, Los Colegios

Horarios de Atención

  • Lunes a Viernes 8:00 - 19:00
  • Sábados Previa Cita
Fachada Consultorio